Il sorriso è la cosa che più ci colpisce quando vediamo il volto di una persona per la prima volta. La sua potenza mediatica è priva di eguali: può essere empatico, sensuale, di scherno, contagioso, dire quanta cura abbiamo della nostra persona, quanta ne abbiamo avuta o quanta ne vogliamo trasmettere, che radici culturali abbiamo e, inconsciamente, che corredo cromosomico vincente abbiamo. É un gesto spontaneo e naturale. Un sorriso richiede l’impiego di un numero inferiore di muscoli rispetto a una espressione triste. Un sorriso può cambiare lo stato d’animo e l’andamento di una giornata. Una ricerca della University of South Australia ha infatti evidenziato che l’attività dei muscoli del volto genera un circolo virtuoso di emozioni. Quando si pratica, anche in maniera forzata, un sorriso, si attiva l’amigdala, il centro emotivo del cervello, che rilascia neurotrasmettitori che incoraggiano uno stato piacevolmente positivo. Ed ecco dunque che il famoso detto “sorridi e il mondo ti sorriderà” calza a pennello. Nella società moderna, sempre più legata agli status symbol e quanto più che mai social, l’immagine al primo impatto ha un’importanza fondamentale nel processo di creazione di un legame comunicativo. Oscar Wilde dichiarò: “Non avrai seconde occasioni per fare una buona impressione”. Se inoltre aggiungiamo il fatto che questa sentenza avviene inconsciamente nei primi 7 secondi di confronto, ecco che la situazione si complica non poco. Quanti di noi hanno spesso rinunciato a sorridere, soprattutto dopo un pranzo di corsa, per paura di avere qualcosa tra i denti? Ci sono persone che coprono regolarmente il loro sorriso con la mano o hanno imparato a sorridere solo con le labbra pur di non scoprire i denti di cui si vergognano da anni. Eppure le soluzioni oggi ci sono e sono alla portata di tutti: dalla semplice igiene professionale, allo sbancamento dentale; dalle terapie di allineamento con dispositivi trasparenti alle faccette in ceramica. In un paese come l’Italia dove solo nel 2019 il volume di affari per la cosmesi ha raggiunto i 12 miliardi di euro è evidente come anche a livello dentale la richiesta per terapie estetiche sia in forte espansione. Tra queste, un ruolo di primaria importanza lo rivestono le faccette dentali. Cosa sono? Come vengono applicate? Quali problemi vanno a risolvere? SaluteToday lo ha chiesto alla dr. Emanuela Bianca, medico chirurgo, odontoiatra in Castelletto Ticino presso lo studio dentistico Odontobi, una lunga esperienza nell’estetica facciale.

Dr. Bianca, cosa sono le faccette dentali?

Le faccette dentali sono delle lamine in resina o ceramica, realizzate da un odontotecnico, che vengono applicate sulle superfici dentali, adeguatamente preparate e improntate da un odontoiatra esperto. Questo tipo di restauro permette, entro certi limiti fisici e biologici, di cambiare la forma, la posizione e il colore dei denti su cui vengono applicate.
Come si applicano?

Vengono provate e visionate insieme al paziente, al quale, una volta approvato il risultato, vengono attaccate in maniera permanente tramite un cemento specifico e un appropriato trattamento chimico del tessuto dentale. Il tutto sotto la protezione di un foglio di gomma che isola il “campo operatorio” chiamata Diga. Questo ne garantisce la tenuta, la durata nel tempo e la resa estetica. In realtà questo tipo di restauro cosmetico è stato introdotto negli anni ’30 da Charles Pincus in risposta alle esigenze estetiche degli attori Hollywoodiani. Bisogna aspettare però il 1975, periodo nel quale il Dott. Rochette propone l’impiego di restauri ceramici per i denti anteriori. Nell’83 invece, grazie al contributo di Simonsen, Calamia e Horn assistiamo all’evoluzione dell’adesione delle faccette al tessuto dentale che ne incrementa la stabilità e la durata grazie anche al procedimento di mordenzatura. A oggi la metodica ha raggiunto lo stato dell’arte in termine di estetica, integrazione, mini invasività e durata del manufatto protesico grazie alle tendenze Americane e Brasiliane, la scuola Giapponese e la cultura Italiana.
Quali sono i problemi per i quali si ricorre sempre più frequentemente all’applicazione delle faccette dentali?
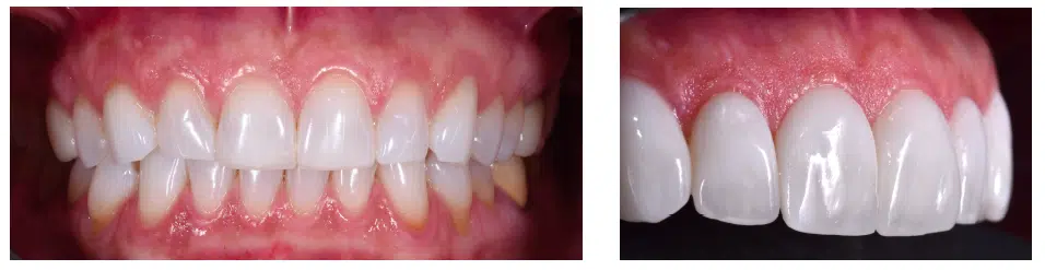
Oggigiorno non è difficile imbattersi in dentisti ormai dediti alla promozione di queste procedure sul web e in particolare sui social media, mostrando degli stupefacenti before and after dove tutto ciò che succede in mezzo è abilmente mascherato. In realtà ciò che oggi rappresenta la reale differenza tra un prodotto di qualità e uno meno performante è proprio come questo viene progettato, realizzato e finalizzato. La motivazione principale che porta un paziente a richiedere questo trattamento è la discromia del propri denti. Spesso tale problematica viene risolta con uno sbiancamento professionale, che nell’ordine terapeutico dovrebbe rappresentare la prima proposta. Capita però che questo non sia sufficiente, vuoi per le aspettative del paziente, vuoi o a causa di difetti intrinseci della struttura dentale.


Altro motivo che porta a richiedere le faccette è l’usura dentale legata ad attività parafunzionale. Molti colleghi sconsigliano di eseguire tali restauri in condizioni simili, in realtà diversi studi e la nostra esperienza ci hanno portato a ottenere i risultati migliori proprio in questi pazienti. Ovviamente la progettazione e la possibilità di eseguire un trattamento completo di restauro dell’intera bocca è indispensabile prima di procedere. Il disallineamento dentale a livello dei settori estetici, entro certi limiti, può essere corretto con l’impiego delle faccette risparmiando al paziente un trattamento ortodontico. Questa richiesta è però spesso declinata nella nostra pratica clinica a favore di un trattamento di allineamento tradizionale, magari con mascherine trasparenti. Esso è infatti il trattamento d’elezione in casi del genere.
Esistono delle controindicazioni?
Come in tutti i trattamenti, esistono delle controindicazioni. Sicuramente un severo affollamento dentale, un disallineamento grave o una classe scheletrica sfavorevole, possono incidere sulla fattibilità del trattamento e questa è un’evenienza piuttosto frequente. Ecco perché abbiamo sviluppato dei piani di trattamento combinati “ad hoc” per casi del genere, di concerto con l’ortodontista (specialista che si occupa di allineare i denti). Un’altra controindicazione, fortunatamente molto rara, è una scarsa qualità e quantità di smalto presente. É chiaramente l’odontoiatra che dovrà selezionare le varie casistiche e proporvi la soluzione terapeutica migliore per le vostre caratteristiche di partenza e le vostre esigenze.
Quante sedute occorrono per applicare le faccette dentali?
In realtà la selezione del caso e la previsione di quello che verrà fatto a richiedere maggior tempo. Ma non vi preoccupate, a voi richiedono solo un paio di sedute di un’ora. Il resto viene fatto dietro le quinte dall’odontoiatra e dall’odontotecnico. Infatti, dopo una prima seduta di valutazione dove vengono anche eseguite delle lastre di controllo, si rilevano due impronte analogiche o digitali (tramite l’impiego dei moderni scanner ottici) e scattate diverse foto della bocca e del volto intero su sfondo nero. Viene quindi fissato un secondo appuntamento a distanza di qualche giorno dove viene visualizzata una simulazione del risultato che si potrebbe ottenere e viene eseguito quello che tecnicamente si chiama mock up: una vera e propria prova del risultato finale attraverso lo “stampaggio” dei nuovi denti con un materiale resinoso direttamente in bocca che da la possibilità al paziente di pre-visualizzare quello che sarà quanto più simile al risultato finale. Questa prova può essere lasciata in bocca al paziente per provarla nei giorni successivi (2/3) ed avere un giudizio anche dalle persone più intime (consorte, familiari, amici o figli). Viene quindi rimossa la “prova” e a questo punto il paziente può serenamente decidere se procedere al
trattamento o meno.

Questo consiste in una seduta preliminare di preparazione più o meno profonda dei denti (in rari casi non é nemmeno necessaria, ed ecco che vengono eseguite le faccette “prep-less”), un’impronta di precisione (digitale o analogica) e l’adattamento di provvisori preformati per l’occasione. A distanza di 7/10 giorni é possibile quindi procedere alla prova delle faccette ed alla loro conseguente cementazione definitiva. Entrambe le due sedute sono piuttosto lunghe e delicate, quindi mettetevi comodi e godetevi il trattamento.
Quali risultati si ottengono?
I risultati sono chiaramente stupefacenti e i pazienti sono sempre entusiasti di quanto ottenuto. Se ben realizzate le faccette diventano un tutt’uno con i denti che le accolgono e difficilmente vanno incontro a rotture o distacchi. La pianificazione, lo studio del caso specifico e l’utilizzo di materiali al top di gamma oltre che affidarsi a un professionista esperto il quale fa affidamento a mastri odontotecnici per la realizzazione delle faccette definitive sono le chiavi necessarie ad un trattamento duraturo e di successo.









